SHOULDER PAIN

Relieve Shoulder Pain, Restore Strength & Movement—Without Surgery.

Schedule your consultation

Understanding the Root Cause

Shoulder pain can stem from many causes—rotator cuff injuries, frozen shoulder, tendonitis, bursitis, arthritis, or nerve impingement. While symptoms often feel similar, effective relief depends on accurately identifying the underlying condition. At REGENIQUE, we use advanced diagnostic tools and image-guided assessments to get to the root of your pain, ensuring that treatment is precise and recovery is long-lasting.

When to See a Doctor for Shoulder Pain

Icon

You experience shoulder pain that doesn't improve with rest or home care.

Icon

You have difficulty lifting your arm or reaching behind your back.

Icon

You feel weakness, stiffness, or reduced range of motion in the shoulder.

Icon

The pain radiates down your arm or worsens at night.

Icon

You’ve had a fall, sports injury, or repetitive overuse.

Icon

There’s visible swelling, bruising, or joint instability.

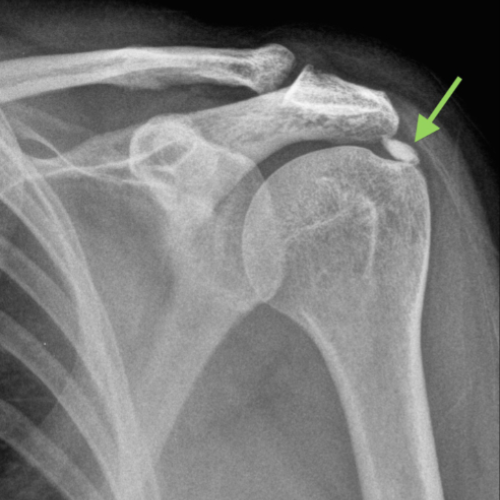
Conditions We Treat

Frozen Shoulder

Rotator Cuff Tendonitis

Glenoid Labral Tears

Calcific Tendinitis

Bursitis

Shoulder Joint Arthritis

Biceps Tendinitis

Why choose

Why Choose REGENIQUE for Shoulder Pain

We combine expert diagnosis, non-surgical precision, and a holistic plan to help you regain comfort and movement—without downtime.

01. Shoulder Pain Experts

Dr. Tushar B Munnoli is trained in ultrasound-guided pain interventions that offer faster diagnosis and targeted relief for shoulder disorders.

02. Non-Surgical & Regenerative Options

We treat shoulder pain using minimally invasive techniques like joint injections, PRP therapy, nerve blocks, and physical rehab strategies tailored to your needs.

03. Functional Recovery Focus

Our aim is not just pain relief, but complete restoration of mobility, function, and quality of life—whether you're an athlete, desk worker, or senior.

Testimonials

“I couldn’t lift my arm without pain for months. REGENIQUE’s precise treatment and follow-ups helped me avoid surgery and return to teaching.”

Renu S.

Yoga Instructor

“I had persistent shoulder stiffness after a minor injury. The ultrasound-guided treatment gave immediate relief and restored my range.”

Vikram T.

Architect

“Dr. Tushar's personalised approach made all the difference. From diagnosis to therapy, everything was explained and handled professionally.”

Megha R.

Marketing Manager

Shoulder Pain FAQs

Shoulder pain may result from rotator cuff tears, frozen shoulder, impingement, tendinitis, arthritis, or nerve compression.

Not at all. Most conditions can be managed with guided injections, physiotherapy, and regenerative medicine without surgical intervention.

We use clinical evaluation and musculoskeletal ultrasound to identify the source of pain and tailor a targeted treatment.

Recovery depends on the condition and severity, but most patients experience relief and restored mobility within a few sessions.

Yes, with posture correction, strengthening exercises, and lifestyle adjustments recommended as part of your treatment plan.